Русский Лос-Анжелес. Russian Los Angeles
Портал русскоязычных жителей Лос-Анжелесa. Russian Los Angeles community.
Найди свое счастье, служба знакомств на RussianAmerica.COM Русские концерты на Американской сцене
Home
Home Русский Лос-Анжелес. Russian Los Angeles - russian-speaking community website In English
News
Events
Yellow Pages
Classifieds
Forum
Chat
Dating
TV/Video
Home » Archive
Журнал » Здоровье «Back
Журнал
  Рейтинг
  Архив
Рубрики
Политика
Экономика
Спорт
Hi-Tech
Здоровье
Кино/Театр
Музыка
Животные
Путешествия
Светская жизнь
Происшествия
Война
Автомобили
Пикантные новости
Не пропустите
Мода
Астрология
Интернет
Community
  News Central
  Дайджест Форума
  Рейтинг ресурсов
  Знакомства
  Дискуссионный клуб
  Чат
  Фотоальбомы
  Yellow Pages
  Объявления
  Читальный Зал
  Гороскопы
  Top Rating
       America TOP

 
Страшный вирус назвали по имени
2003-03-20 02:15:10
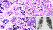
Гонконгские ученые сделали крупный прорыв в раскрытии тайны дыхательной болезни, которая стала причиной гибели уже, по меньшей мере, девяти человек и вызвала панику в медицинских и околомедицинских кругах всего мира.
Болезнь известная как "Серьезный Острый Дыхательный Синдром" (СОДС) была идентифицирована. Ее вызывает вирус из семейства Paramyxoviridae (парамиксовирусов). Это установили исследователи из гонконгской больницы принца Уэльского и Китайского университета.

"Важнейший вывод медиков заключается в том, что тактика антивирусного лечения была выбрана правильно", - заявил Сидни Чун Шеун-чи, декан медицинского факультета Китайского университета в интервью газете South China Morning Post.

Однако врачи подчеркивают, что в семейство парамиксовирусов входят различные возбудители болезней, которые могут в той или иной мере затрагивать людей. В частности, к этому семейству вирусов относятся возбудители кори, свинки и собачья чумка.

Для того, чтобы точно определить является ли СОДС новым вирусом и излечим ли он, потребуются дополнительные исследования. Пока же эту болезнь продолжают именовать как атипичная пневмония или гриппоподобное вирусное заболевание.

MIGnews.com
Вернуться
Другие Новости в этой рубрике
  • Как побороть авитаминоз
  • Обжорство полезно
  • Чем нам грозит всего одна чашечка кофе в день?
  • Аспирин: кратчайший путь к стоматологу
  • Факты об антибиотиках
  • Планете угрожает пандемия смертоносного гриппа
  • Американский бизнесмен заразил 70 человек неизвестной болезнью
  • Бывший супермен Кристофер Рив сможет дышать сам
  • Зубы болят не от сладостей, а от никотина
  • Телевидение отучило детей разговаривать
  • В Австрии проведена пересадка обеих рук
  • Китайцы научат мир делать анализ на ВИЧ менее чем за полчаса
  • Жир защищает мозг
  • Вакцинация против оспы вредна для окружающих
  • Благодаря пересадке клеток сердечная рана зарастет сама
  • Аспирин может применяться для профилактики рака
  • Британские ''скорые'' никуда не торопятся
  • Бабуля родила тройню
  • Обнаружен ген сердечной недостаточности
  • Девушки, ''сидящие на ножах''
Еще »
Дайджест / Архив / Рейтинг 





 
Terms of Service | Privacy Policy | Advertise | Web Hosting | Contact | Site Map | Site Map (rus)
Rambler's Top100   Рейтинг@Mail.ru Russian America Top
© 2026 RussianAMERICA Holding
All Rights Reserved • Contact